아이유치과가 왜 유명하냐구요? 치료전후 변화와 후기를 직접 확인해보세요. (바로가기)
교정전문의 직접 진료
감염예방전문기업 엠디세이프 멤버쉽병원
원장님 유튜브 채널 바로가기
치과의사들과 그 자녀들이 교정치료 받는 치과아래 이미지를 클릭하여 후기를 확인하세요!
아이유치과가 알려주는 올바른 치아교정 정보
episode01.교정 후엔 얼굴이 어떻게 변할까?
episode02.교정 첫날 겪게 되는 모든 일들
episode03.교정, 얼마나 아플까?
episode04.유지장치는 평생 해야한다?!
episode05.치아미백의 모든 것
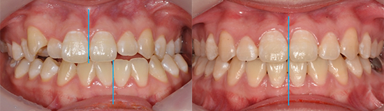
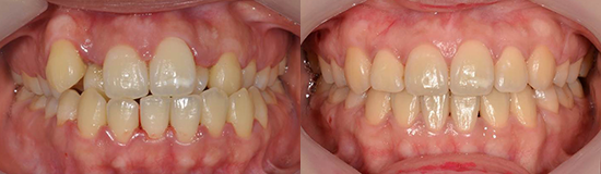
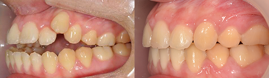
아이유에서 교정을 마치며 남겨주신 소중한 후기
돌출된 앞니를 교정하신 최OO님의 후…
재교정을 통해 정상교합을 되찾으신 김…
청소년 교정을 통해 덧니를 해결하신 …
덧니와 결손치를 교정하신 김OO님의 …
부분교정으로 앞니를 가지런하게 만드신…
토끼앞니, 덧니를 교정하신 김OO영님…
치아교정 누적 8000케이스 달성!차별화된 교정 노하우로 완성도 높은 교정치료를 합니다.
친절하게 답변해드립니다.
전원 치과교정과전문의
TOP ▲
▲