기타 설측교정으로 길쭉해 보이는 앞니를 개선한 사례입니다.
페이지 정보
작성자 아이유치과 댓글 0건 조회 3,213회 작성일 20-08-09 16:50본문

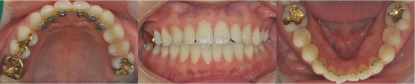
6개월에 걸쳐 길쭉해 보이는 앞니를 개선한 사례입니다.
교정치료 중에 웨딩 촬영 일정이 있으셨기에 장치가 겉으로 보이지 않는 설측교정으로 진행하였습니다.
설측교정으로 진행 시, 위 사진과 같이 장치가 겉으로 보이지 않는다는 장점이 있습니다.
설측교정에 대해 더욱 자세히 알고 싶으시다면 아래 글을 참고해 보시기 바랍니다.
https://blog.naver.com/versuscopen/221449809136
관련링크
댓글목록
등록된 댓글이 없습니다.

인비절라인 투명교정











