반대교합교정 반대교합 치료, 비수술
페이지 정보
작성자 iudental 댓글 0건 조회 3,111회 작성일 19-07-29 16:12본문


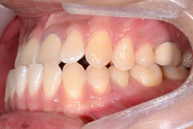
아랫니가 거꾸로 물리고 아랫 입술이 돌출되어 내원하셨으며
비수술, 전체교정을 통해
2년 2개월에 치료 마무리하고 현재 유지관리단계에 있습니다.
댓글목록
등록된 댓글이 없습니다.


아랫니가 거꾸로 물리고 아랫 입술이 돌출되어 내원하셨으며
비수술, 전체교정을 통해
2년 2개월에 치료 마무리하고 현재 유지관리단계에 있습니다.
등록된 댓글이 없습니다.