덧니교정 덧니교정
페이지 정보
작성자 iudental 댓글 0건 조회 3,317회 작성일 19-07-30 02:20본문


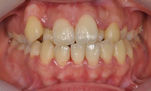
덧니의 정도가 심하여 2년에 걸쳐 전체교정으로 치료한 경우입니다.
기존에 치주질환이 심했기 때문에 예방치료도 동반하여 건강한 잇몸도 갖게 되었습니다.
댓글목록
등록된 댓글이 없습니다.


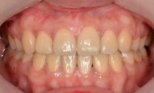
덧니의 정도가 심하여 2년에 걸쳐 전체교정으로 치료한 경우입니다.
기존에 치주질환이 심했기 때문에 예방치료도 동반하여 건강한 잇몸도 갖게 되었습니다.
등록된 댓글이 없습니다.