아이유치과가 왜 유명하냐구요? 치료전후 변화와 후기를 직접 확인해보세요. (바로가기)

과개교합교정 과개교합교정

페이지 정보

작성자 iudental 댓글 0건 조회 3,292회 작성일 19-07-30 02:27

본문

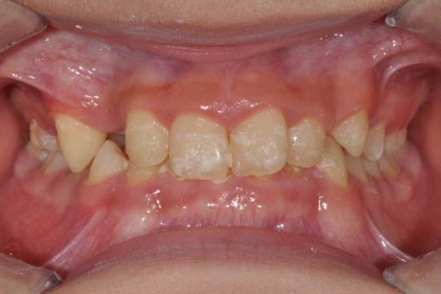
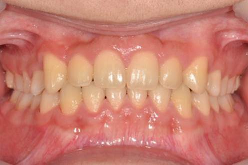
아래턱이 작고 앞니끼리 너무 깊게 물린 케이스입니다. 과개교합교정을 통해 정상교합을 만들었습니다.

댓글목록

등록된 댓글이 없습니다.