비대칭교정 비대칭교정
페이지 정보
작성자 iudental 댓글 0건 조회 3,568회 작성일 19-07-30 11:07본문


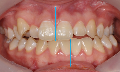
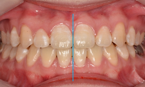
1년 11개월간의 교정치료를 통해 비대칭을 개선한 모습입니다.
만약 치열 비대칭이 아닌 안면 비대칭이라면 수술이 필요할 수 있습니다.
댓글목록
등록된 댓글이 없습니다.


1년 11개월간의 교정치료를 통해 비대칭을 개선한 모습입니다.
만약 치열 비대칭이 아닌 안면 비대칭이라면 수술이 필요할 수 있습니다.
등록된 댓글이 없습니다.