앞니벌어짐교정 앞니 벌어짐 교정
페이지 정보
작성자 iudental 댓글 0건 조회 3,415회 작성일 19-07-30 11:57본문


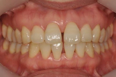
앞니 및 어금니 벌어짐은 개선한 사례입니다.
어금니 교합이 양호하다면 3~6개월 내로 비교적 빠른 시간 내에 해결할 수 있습니다.
댓글목록
등록된 댓글이 없습니다.


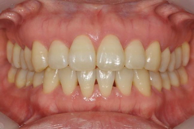
앞니 및 어금니 벌어짐은 개선한 사례입니다.
어금니 교합이 양호하다면 3~6개월 내로 비교적 빠른 시간 내에 해결할 수 있습니다.
등록된 댓글이 없습니다.