재교정 타의원에서 포기한 후 전원된 사례
페이지 정보
작성자 iudental 댓글 0건 조회 3,706회 작성일 19-07-30 12:00본문


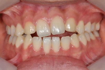
치료난이도가 높아 타의원에서 교정치료 도중 치료를 포기하고 아이유치과로 전원된 사례입니다.
미니스크류를 이용하여 교합면 기울어짐 및 개방교합을 해결하였습니다.
댓글목록
등록된 댓글이 없습니다.


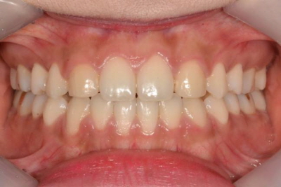
치료난이도가 높아 타의원에서 교정치료 도중 치료를 포기하고 아이유치과로 전원된 사례입니다.
미니스크류를 이용하여 교합면 기울어짐 및 개방교합을 해결하였습니다.
등록된 댓글이 없습니다.