개방교합교정 개방교합교정
페이지 정보
작성자 아이유치과 댓글 0건 조회 3,284회 작성일 19-11-06 23:11본문



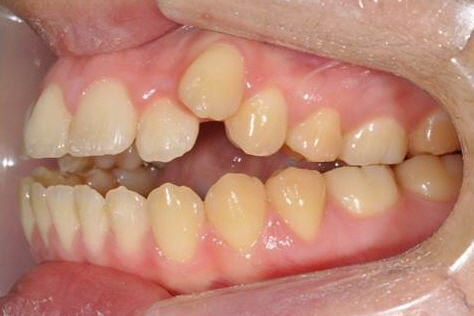
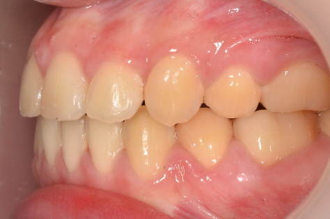
앞니끼리 물리지 않는 개방교합으로 인해 저작기능 장애를 겪고 있었으며
2년 1개월간의 교정치료를 통하여 정상교합으로 만든 성공적인 케이스입니다.
향후 정기검진에 있어서도 재발 없이 잘 유지되고 있습니다.
개방교합의 치료 원리 및 얼굴형의 변화가 궁금하시다면 아래 블로그 또는 영상을 참고해 주세요.
블로그: https://blog.naver.com/versuscopen/221552873881
유튜브영상
관련링크
- https://youtu.be/cD0_zW4xHMA 2342회 연결
- https://blog.naver.com/versuscopen/221552873881 2316회 연결
댓글목록
등록된 댓글이 없습니다.

인비절라인 투명교정











