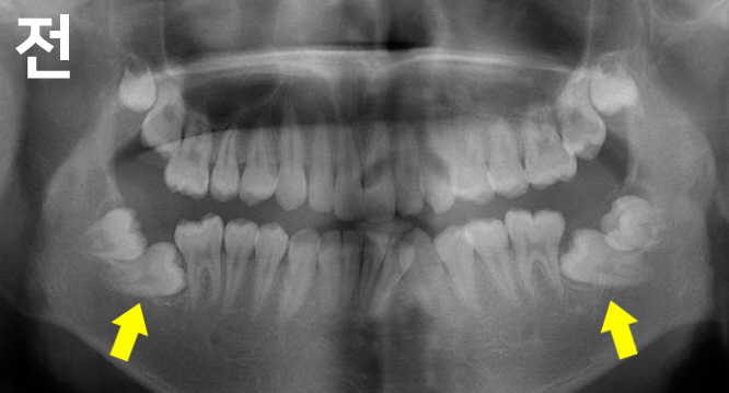
매복치교정 심한 어금니 매복치 교정
페이지 정보
작성자 아이유치과 댓글 0건 조회 3,396회 작성일 20-02-06 12:02본문


심한 어금니 매복으로 인해 내원하셨습니다.
부분교정으로도 해결할 수 있었으나 앞니 비뚤함도 개선 원하시어 전체교정으로 진행하였으며
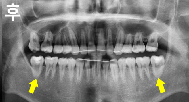
교정 후 매복치가 올바르게 배열된 것을 확인할 수 있습니다.

매복치교정은 뽑고 임플란트를 하는 방법보다 잇몸뼈와 내 치아를 보다 많이 보존할 수 있기 때문에 조기에 치료해주는 것이 바람직합니다.
매복치교정의 치료과정이 궁금하시다면 아래 제 글을 참고해 보시기 바랍니다.
https://blog.naver.com/jienioui/221566592838
관련링크
댓글목록
등록된 댓글이 없습니다.

인비절라인 투명교정











