덧니교정 덧니 비발치교정
페이지 정보
작성자 아이유치과 댓글 0건 조회 3,614회 작성일 20-02-09 14:18본문


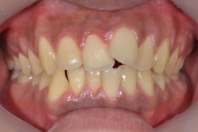
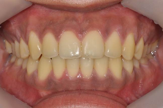
타치과에서 발치교정을 권유받았으나 비발치교정으로 1년 1개월에 걸쳐 치료를 마무리한 케이스입니다.
가지런한 치열뿐 아니라 정상 어금니 교합도 가지게 되어 저작능력이 향상된 사례입니다.
블랙트라이앵글 형성을 방지하기 위해 약간의 치간삭제를 하였는데,
치간삭제에 대해 궁금하신 분들은 아래 영상을 참고해 보시면 되겠습니다.
댓글목록
등록된 댓글이 없습니다.

인비절라인 투명교정











