급속부분교정 급속부분교정
페이지 정보
작성자 아이유치과 댓글 0건 조회 3,474회 작성일 20-02-09 14:25본문


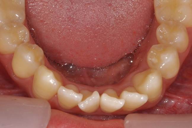
어금니 교합이 양호하여 앞니 급속 부분교정이 가능했던 케이스입니다.
치료기간 3개월 소요되었으며 일반 브라켓보다 얇고 편안한특수장치를 사용하여 교정하였습니다.
급속 부분교정에 대해 궁금하시다면 아래 영상을 참고해 주세요^^
댓글목록
등록된 댓글이 없습니다.


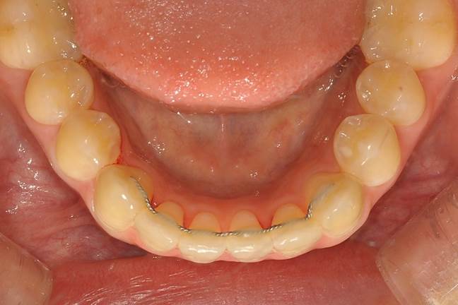
어금니 교합이 양호하여 앞니 급속 부분교정이 가능했던 케이스입니다.
치료기간 3개월 소요되었으며 일반 브라켓보다 얇고 편안한특수장치를 사용하여 교정하였습니다.
급속 부분교정에 대해 궁금하시다면 아래 영상을 참고해 주세요^^
등록된 댓글이 없습니다.