개방교합교정 개방교합 및 입술라인 교정
페이지 정보
작성자 아이유치과 댓글 0건 조회 3,166회 작성일 20-02-09 14:37본문



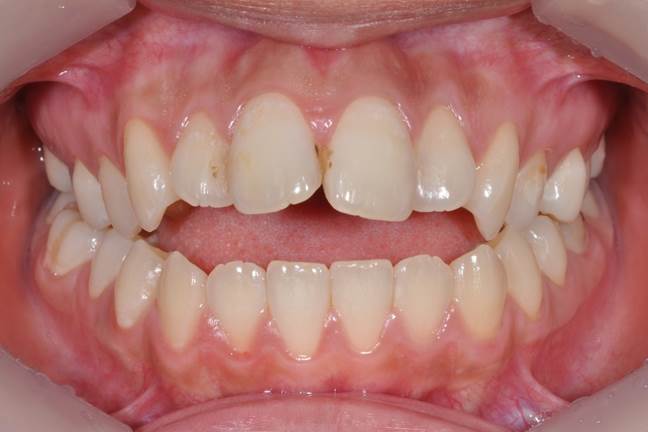
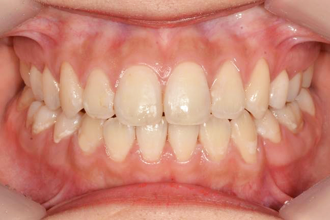
개방교합 교정을 통해 앞니끼리 다물어지게 만들었을 뿐 아니라
하안면 얼굴형 및 입술 라인을 개선한 사례입니다.
수술없이 입술 라인을 개선하는 원리가 궁금하시다면 아래 영상 또는 블로그 글을 참고해 보세요^^
네이버 블로그: https://blog.naver.com/versuscopen/221676536015
댓글목록
등록된 댓글이 없습니다.

인비절라인 투명교정











